top of page


Immediate implant placement using Neo NaviGuide in the mandible anterior site
, Pre-op panorama It was planned to immediately place implants following the extraction of #31, #32, #41 and #42. Intra-oral photograph...

Dr. YoungKu Heo
May 4, 20171 min read


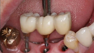
Immediate implant placement using the Neo NaviGuide in the maxillary anterior site
Pre-op panorama It was planned to immediately place implants following the extraction of #11, #13, #22 and #23. Intra-oral photograph...

Dr. YoungKu Heo
Apr 26, 20171 min read


Management of sinusitis
Situation A 51-year-old female patient was referred to the clinic. Severe sinusitis has occurred from #27. Pre-operative Panorama From...

Dr. YoungKu Heo
Apr 13, 20171 min read


Horizontal soft tissue augmentation tooth #46
Preoperative Observation Preoperative CT Scan Intra-oral Photograph Soft Tissue Graft from Tumber area Follow-up after 12 weeks
Dr. Pavel Yaroshevich
Apr 13, 20171 min read


Removal of a fractured implant abutment
Situation An implant abutment was fractured. It can be easily removed by breaking cold welding with momentary lateral impacts using an...

Dr. YoungKu Heo
Mar 31, 20171 min read


Treatment of peri-implantitis by mechanical cleansing using I-brush II & T-brush
Situation Peri-implantitis were found around implants #46,47&48. Pre-operative Panorama Clinical buccal view of implants #46,47&48....

Dr. YoungKu Heo
Mar 29, 20171 min read


Ridge split procedure with ridge wider and simultaneous implant placement of IS III active fixtures
Situation A 58-year-old female patient had lost teeth 46 and 47 and was referred to the clinic for treatment. As extremely narrow ridge...

Dr. YoungKu Heo
Mar 27, 20172 min read


Immediate implant placement on right maxillary central incisor with IS-II Active implant
Situation Patient was a 49 years old female, who lost her crown as well as the post and core of tooth 11 when biting on a mouthpiece of a...
Dr. Paweł Strzępek
Mar 15, 20171 min read


Mucogingival Plastic Surgery applied to solve peri-implant soft tissue defects in esthetic area
Situation A young patient, female, had an implant positioned in site 22. This picture shows the second surgical time with the uncovering...
Dr. Michele Perelli
Mar 15, 20171 min read


Full arch implant placement on the mandible using Simplant software
Situation The patient was a 69 years old female. The patient had residual mandibular dentition with teeth of grade 2 mobility and deep...
Dr. Paweł Strzępek
Mar 15, 20171 min read


Full arch implant placement on the maxilla using Simplant software
Situation The patient was a 71 years old male with residual maxillary dentition using a partial denture of the upper arch. Pre-operative...
Dr. Paweł Strzępek
Mar 15, 20171 min read


A step by step Procedure of Implant Placement with IS-III active Fixture in the right Mandibular 2nd
Situation The patient was a 59-year-old male with no significant health history except for hypertension. Clinical examination revealed a...

Dr. YoungKu Heo
Mar 9, 20171 min read


Full arch implantation with Neo NaviGuide on the edentulous mandible
Situation A 55-year-old female patient wanted to have her lost teeth restored. The patient had well-controlled hypertension and was...

Dr. YoungKu Heo
Feb 28, 20171 min read


Implant placement with IS III active fixtures in the posterior mandible
Situation A 55-year-old male Hypertension A pre-operative panoramic radiograph revealed teeth missing on #45, #46 & #47. The treatment...

Dr. YoungKu Heo
Feb 14, 20172 min read


Conventional 11 mm long implant replaced with short IS II Active 7.3 mm
Situation A patient presented a conventional 11 mm long implant positioned to restore the first right mandibular molar was referred to...
Dr. Michele Perelli
Feb 13, 20171 min read


How to use Screw Remover Kit-II
Situation A 55 years old male patient was referred to the clinic with a fractured implant screw. Click on the image to see clinical video.

Dr. YoungKu Heo
Feb 6, 20171 min read


7-month result of Immediate Placement using a precision Neo NaviGuide and Immediate Loading
Situation A 71-year-old male Non-smoker Pre-operative Panorama Intra-oral photograph. Root rests were extracted atraumatically....

Dr. YoungKu Heo
Jan 25, 20172 min read


8 Year Result of A Lateral Window Opening with a LS-reamer and a Semilunar Flap
Click on the image to see clinical video.

Dr. Nam Yoon Kim
Jan 23, 20171 min read


SOCKET SHIELDING IMMEDIATE IMPLANT USING NEOBIOTECH IS-II ACTIVE FIXTURE
Introduction - Loss of blood supply from periodontal ligament has been identified as major etiology for ridge resorption (KOTSAKIS 2014)...
Dr. Tan Soon Teik
Jan 23, 20173 min read


Maxillary Posterior Multiple Teeth Replacement with Class I, II, and III CMI Fixations
Situation Pre-operative panoramic radiograph -The heights of residual alveolar bone in the areas of #16 & #27 were measured as 7-8mm....

Dr. YoungKu Heo
Jan 16, 20173 min read


Delayed Immediate Placement with Class III M Fixation Using the SCA Technique
Patient Information Patient: A 47-year-old male He had no noticeable medical problem and no severe periodontal disease. Diagnosis:...

Dr. Chonghwa Kim
Dec 19, 20162 min read


8-Year Result of a Lateral Window Opening using an LS-reamer with a Small Vertical Incision
Situation A 56-year-old male His medical condition was normal and non-smoker. The residual bone is about 4mm at #15 and 16 area. 6mm at...

Dr. YoungKu Heo
Dec 12, 20163 min read


8 Years Follow-up Case of Class III CMI/CM Fixation in the Maxillary 1st and 2nd Molar Area
Situation Patient Information Patient: A 62-year-old woman medical history: primary hypertension, a psychiatric problem, and mild...

Dr. Jongyub Kim
Nov 21, 20163 min read


Immediate placement with Class III MI fixation using the SCA technique in the Maxillary 2nd Premolar
Situation Patient Information -Patient: A 41-year old male -Medical history: Smoking, HBP Diagnosis & Treatment Planning #15 and #25:...

Dr. YoungKu Heo
Nov 14, 20161 min read
bottom of page