top of page


Utilization of ‘PickCap’ Impression Kit with mandibular anterior restorations
January 28, 2015, Anterior esthetic restoration, CASES & VIDEOS, Custom abutment, Digital implantology, Provisional restoration,...
GAO
Jan 28, 20151 min read


Utilization of ‘PickCap’ Impression Kit with mandibular anterior restorations
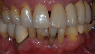
Patient information Pateint: 61 years old male Chief complaint: "The bottom front teeth are mobile and painful on chewing." Diagnosis:...

Dr. Chonghwa Kim
Jan 28, 20151 min read
bottom of page