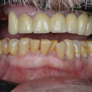
IMMEDIATE PLACEMENT AND 24 HOURS LOADING OF NEOBIOTECH IS-III ACTIVE LONG IMPLANTS IN POSTERIOR MAXILLA USING IN-HOUSE CAD-CAM TECHNOLOGY.
This case was executed using our fully in-house digital CAD-CAM workflow, allowing precise implant positioning, optimal primary stability, and rapid prosthetic delivery. Advanced impla
nt design combined with meticulous surgical
planning enabled predictable outcomes even in compromised maxillary bone.
Key Highlights of the Case:
Immediate implant placement follow
ing extraction
High primary stability achieved with IS-III ACTIVE long implants
Functional loading within 24 hours
Completely in-house CAD-CAM fabric
ation of screw-retained prosthesis
Minimal surgical trauma, reduced treatment time, and enhanced patient comfort
This approach demonstrates how modern implant design and digital dentistry can significantly shorten rehabilitation time while maintaining biological and mechanical reliability—even in posterior maxillary cases.
Proud to push the boundaries of immediate loading protocols with consistent success and patient satisfaction.

























