S-narrow implant placement in lower anterior region with VAROGuide
- Dr. YoungKu Heo

- Aug 21, 2021
- 1 min read
Updated: Jul 6, 2022

Patient information
- Age / Sex : 70y, Female
- Medical History: h/o Hyperlipidemia
- Diagnosis : Missing tooth #41
Treatment Plan
- Flapless (Tissue punch) implant surgery with VAROGuide
- Bone graft with DM Bone
Implant
- #41 IS-III active S-Narrow / Diameter Ø3.2 / Length 11mm
Before Surgery

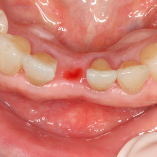
Pre-operative observation : Missing tooth #41

#41 Implant planning using VARO Plan

VAROGuide was placed and step by step drilling was performed.
#41 IS-III active S-Narrow Ø3.2 x 11mm was placed.
Bone graft was performed with DM Bone.

Post-operative Panorama
#41 Final prosthesis was delivered after 1 month.
After Surgery


























Comments