Immediate Placement with VAROGuide #16
- Dr. Hyunggu Im

- Feb 3, 2021
- 1 min read
Updated: May 24, 2022
Patient information
- C/C : Pain at upper back tooth (#16)
- Age/Sex : 56y / Male
- Diagnosis : #16 Mesio-palatal cusp fracture / Peri radicular pathosis
- Treatment Plan : #16 Extraction, Sinus augmentation, #16 Implant Placement, Bone Graft, Prosthesis
Pre-operative Observation
Pre-operative Intraoral examination
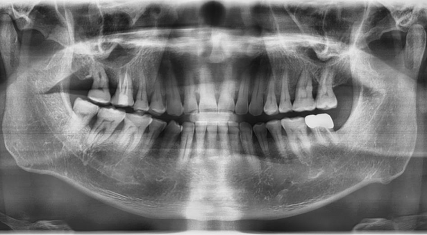
Pre-operative Radiograph
VAROGuide Fabrication
VAROGuide Fabrication using VARO Plan
Surgery
#16 Extraction and place VAROGuide into oral cavity.
Safe sinus augmentation was performed using VAROGuide and VAROGuide Sinus Kit.
Bone graft was done and Healing abutment was connected.
Post-operative Observation

Post-operative Panorama

Post-operative intra-oral photograph





































Comments