Immediate Placement and 4-Week Loading at #45 with the ALX Implant and Kit Protocol
- GAO
- 15 hours ago
- 2 min read

Case Summary 🔎
Patient Information
38 y/o, Male
Past Medical History: Healthy
Introduction
A 38-year-old male patient underwent extraction of the retained primary tooth (#85), followed by immediate placement of an ALX implant. An intraoral scan was performed on the day of extraction and implant placement. The implant achieved favorable primary stability with a high IST value, allowing delivery of the definitive prosthesis after only one month. The final restoration was fabricated using the CL-link system, enabling a screw-retained design without the need for a conventional abutment or cementation. This case demonstrates a predictable workflow combining immediate placement, same-day digital impression, early loading, and CL-link–based prosthetic rehabilitation using the ALX implant.
Treatment Plan
Extraction of retained primary tooth #85
Immediate placement of an ALX implant and same day intraoral scanning
Final restoration after 1 month of surgery
1 month FU
Case Presentation
1️⃣Pre-op
Preoperative radiograph and intraoral photograph showing decay of tooth #85
Atraumatic extraction of tooth #85

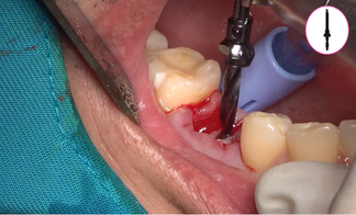
2️⃣ Surgery
ALX-IT Drill Sequence

A point drill was used to mark the ideal implant position.

A Ø2.5 × 10 mm drill connected with an MD spacer was used to check the mesiodistal distance and perform initial bone preparation.
Ø3.0 × 10 mm drilling was performed.

Ø3.5 × 10 mm drilling was performed.

Final drilling (Ø4.5 × 10 mm) was performed.
An ALX-IT Ø6.0 × 10 mm, cuff 2mm implant was placed.
Bone around the fixture was removed using the IT margin profile.
Bone graft was performed.

Digital impression obtained using an intraoral scanner
Healing abutment was connected.
Implant stability was measured using AnyCheck (ISTV = 84)

Post operative panorama

After 2 weeks of surgery, the ISTV remained stable at 83
3️⃣Prosthetic Fabrication
The prosthesis was fabricated using the IT CL-Link.
4️⃣ Final restoration
The final restoration was delivered one month after surgery
PA and panoramic radiographs after final restoration
5️⃣Follow Up
At the 1-month follow-up, the implant remained stable with healthy peri-implant tissue conditions.































































Comments