From Fixture Removal to ALX Same-Day Placement Using an All-in-One Remover Kit
- GAO
- Dec 16, 2025
- 2 min read
Updated: Dec 17, 2025

Case Summary 🔎
Patient Information
Patient : 72-year-old female
Medical history : Non-contributory
Implant history : Implant placed in 2013
Diagnosis : #47 Implantitis
Treatment plan : Fixture removal → Diameter 6.5 ALX-IT same-day placement
Case description
This case shows that stable primary stability is achievable with ALX implants even in a compromised site after fixture removal. By using the All-in-One Remover Kit, damage to the surrounding bone is minimized. Despite limited anchorage, immediate reimplantation results in sufficient insertion torque. This suggests that ALX implants remain a reliable option in challenging peri-implant conditions.
Case Presentation
1️⃣Pre-op
Pre-operative intraoral and radiographic findings showing peri-implant inflammation and bone loss at #47.

2️⃣ Fixture remove
Assembly of the remover hex and remover positioner from the All-in-One Remover Kit prior to fixture removal.



After connecting the remover system to the #47 fixture, a torque of 60 Ncm was applied to ensure stable engagement for fixture removal.
Although an R/W driver is generally indicated, a one-size smaller driver was selected based on intraoperative assessment to achieve more stable engagement


The fixture driver was tightened in a counterclockwise direction, and a torque of 200 N·cm was applied to remove the fixture.


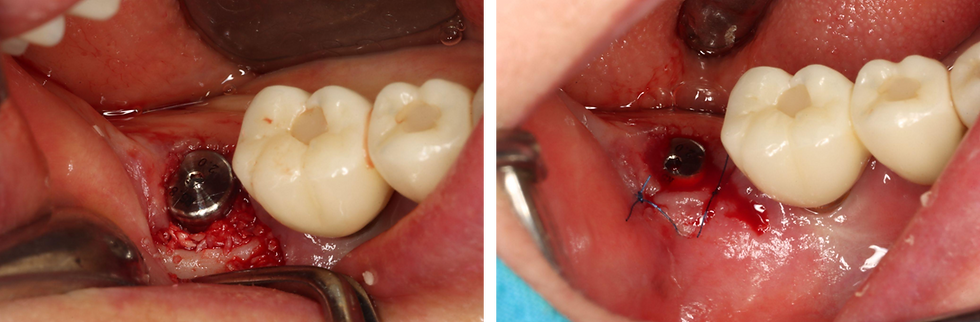
As the implant was removed from an existing site, additional drilling was avoided to prevent unnecessary bone removal.
Prior to implant placement, pre-tapping was performed using the MAXY according to the planned implant depth.


An ALX-IT3 (Ø6.5 × 6.0 mm) implant was placed in bone density D002.
Even with just 2 mm of anchorage from ‘I’ fixation, the insertion torque reaches 40 Ncm.



The peri-implant gap is grafted with Neo Bone allograft and sutured.


Post-operative radiograph.
Periapical radiographs before and after implant removal due to peri-implantitis and immediate reimplantation.




Comments