Successful ALX Implant Placement with Cementless Link in the Maxillary Anterior
- GAO
- Aug 19, 2025
- 2 min read
Updated: Aug 21, 2025

Case Presentation
0️⃣ Diagnosis & Treatment Plan
Patient Information
Age/Sex: 78-year-old male
Reason for Visit: Routine dental check-up. Root caries was detected and treatment was initiated.
Medical history: Hypertension, Hyperlipidemia
Current Medication:
Aspirin (Anpura Tab., antiplatelet agent)
Antihypertensive medication
Antihyperlipidemic medication
Diagnosis
Root caries at #11 → hopeless prognosis

Treatment Plan
Extraction of #11
Immediate placement of ALX implant with Root Shield Technique
Immediate loading using IT temporary abutment

1️⃣ Pre-Op
2️⃣ Surgery - ALX Implant Placement
The crown of #11 was removed at the gingival margin to prepare for the Root Shield Technique.
VAROGuide was placed, followed by Ø2.2 mm initial drilling.
Sequential drilling was performed using VAROGuide.
Root cutting was performed prior to final drilling.
After final drilling

Ø4.5 MAXY drill was used to finalize site preparation, matching the planned implant depth.
After MAXY drilling

Placement of ALXIT24512 in D223 bone density achieved with 40Ncm torque.
After placement of ALXIT24512
A difference in bone height between the mesial and distal aspects was observed. The discrepancy was adjusted using a bone profiler.
3️⃣ Prosthetics
IT Temporary abutment was connected.
A provisional restoration was fabricated.
After intraoral removal, final contouring was completed extraorally.
The restoration was then placed intraorally and checked for adaptation.
Surgical chart

4️⃣ Post-Op
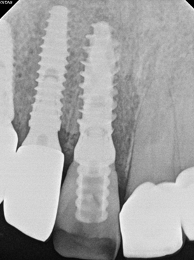
Post-operative radiographic image
2 weeks after surgery
1 month after surgery
1.5 month intraoral scanning
5️⃣ Final Prosthetics
A cementless link-type zirconia restoration was fabricated as the final prosthesis.
Final restoration delivered with stable function and esthetics.
Final radiographic image confirmed proper seating and integration.
💡 Clinical Significance
This case highlights the clinical advantages of combining the Root Shield Technique with ALX Immediate Placement. The use of the MAXY drill allowed precise and safe site preparation, ensuring predictable implant depth and achieving stable primary stability even in compromised bone conditions. Immediate implant placement and loading contributed to maintaining peri-implant tissue integrity and reducing treatment time.
The final restoration was delivered using the Cementless Link (CL Link) zirconia prosthesis. The CL Link is an innovative prosthetic concept that achieves a passive fit using only the Link and screw, completely eliminating the need for cement. By delivering the crown and Link intraorally as a single unit, this system enables efficient and time-saving placement while minimizing the risk of cement-related biological complications.
This case demonstrates how advanced surgical techniques and innovative prosthetic solutions can work together to provide both functional stability and long-term esthetic predictability.




























































































Comments