top of page

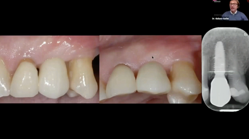
How and when to manage the soft tissue in the esthetic area - Part 2

  • Writer: GAO
    GAO
  • Sep 6, 2022
  • 1 min read

ree

Screen shots



Speaker C.V.

Dr. Giuliano Garlini

ree



Auto translation over 110 languages is available.



Comments


bottom of page