Various Implants Placement using Neo NaviGuide System
- Dr. Yongkwan Choi

- Jul 19, 2018
- 1 min read
Case 1
Implant Placement using the Neo NaviGuide in the maxillary 2dn Premolar Area

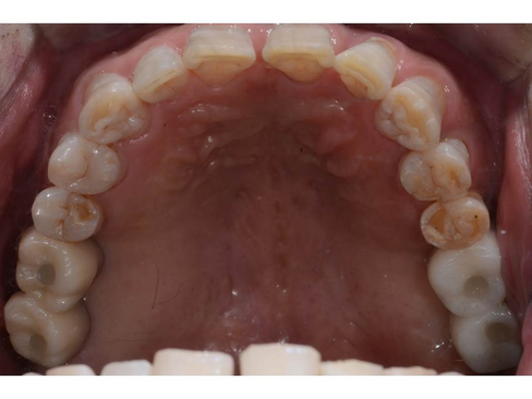
Pre-operative photograph

Surgical Report

Surgical guide application

Implant placement by surgical stent

Healing abutment (No suture)

Bite tray impression using Pick cap

Implant crown restoration (SCRP type)

A panoramic radiograph after the final delivery of the prosthesis
Case 2
Immediate Implant placement using the Neo NaviGuide in the left mandibular 1st Molar

Pre-extraction panorama

Surgical Report

Implant placement surgical guide
(Post extraction 2 weeks later Implant placement because of buccal spaced abscess, betadine staining of stent)

Exact Implant positioning in inter-septal bone using guide stent

Additional bone graft using xenograft

Wide healing abutment

Implant crown restoration (SCRP type)

A panoramic radiograph after the final delivery of the prosthesis
Case 3
Multiple teeth replacement with the Neo NaviGuide on the right maxillary and mandible using the SCA technique in the maxillary 1st molar area
#16,46 Surgical Report
Surgical guide application

#16 Implant placement after sinus elevation using SCA

Vertical anchor in fixture

#16 Implant placement after sinus elevation using SCA

Bone profile

Healing abutments

Implants placement after bone anchor

Transmucosal GBR after mandibular 4 Implants placement
Impression using Pick caps
Implant prosthesis restoration (SCRP type)
Case 4
Full arch Implantation with the Neo NaviGuide on the edentulous maxillary and mandible

1st visit panorama

1st visit intraoral view

Pre-operative intraoral view

Surgical Report
Surgical guide fixation after teeth extraction

IST check by AnyCheck

Loading by provisional restoration (2weeks after Implants placement)

Final restoration (SCRP type)

Night guard using 060 wafer

A panoramic radiograph after the final delivery of the prosthesis























Comments